Association BAOT KOL
Michail Seldkov Sep 01, 2022

Michail Seldkov de la République de Lituanie.

  • Maître depuis plus de 25 ans
  • Fondateur du premier laboratoire privé en Biélorussie.
  • Propriétaire du laboratoire numérique « IQ ProLab » en Lituanie

C'est un excellent prothésiste dentaire et un excellent tuteur qui donne de merveilleux cours aux débutants en BAOT.

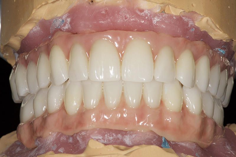
Appréciation des œuvres de Michail Seldkov

Poudre de porcelaine de matériel de laboratoire dentaire

Matériel de laboratoire dentaire Poudre de porcelaine PFZ

biomatériau dentaire en céramique en porcelaine

poudre de céramique dentaire pour laboratoire dentaire

laisser un message

laisser un message
si vous avez des questions ou des suggestions , veuillez nous laisser un message , nous vous répondrons dès que possible !

domicile

des produits

whatsapp